症例紹介
Blog 「すぐインプラントではなく、まず“自分の歯”を残す選択。」― 矯正的挺出と歯冠長延長術による保存的治療 ―
「すぐインプラントではなく、まず“自分の歯”を残す選択。」
― 矯正的挺出と歯冠長延長術による保存的治療 ―

症例概要
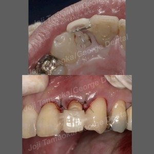
50代男性の患者さま。
前歯が割れてしまい、他院で「抜歯してインプラントにした方がいい」と言われたとのことで、セカンドオピニオンとして当院を受診されました。
診査の結果、歯根破折は確認されましたが、
歯根の長さや骨支持が十分に残っており、保存の可能性があると判断しました。
インプラントは優れた治療法ですが、
“すぐに抜歯せず、まずは自分の歯を残す努力をする”ことも大切です。
今回は、矯正的挺出と歯周外科(歯冠長延長術)を組み合わせることで、
歯を抜かずにセラミッククラウンで審美的・機能的に回復しました。
治療ステップ

① 診査・診断
歯根破折の範囲を確認し、保存の可否を精査。
歯槽骨吸収が軽度であることを確認。
② 矯正的挺出(エクストルージョン)
歯根を少しずつ上方向へ引き上げることで、
破折線を歯肉の外に出し、補綴に必要なフェルール(健全歯質)を確保。
③ 歯冠長延長術(歯周外科)
挺出後、歯肉の位置を整えるために歯肉弁を移動。
審美性と清掃性を両立させる歯肉ラインを再構築。
④ 最終補綴(セラミッククラウン)
歯根の安定を確認後、セラミッククラウンで修復。
周囲歯肉との調和を考慮し、自然な形態と色調に仕上げました。


治療のポイント
• すぐにインプラントが第一選択ではないケースもある。
歯根の長さ・骨支持・炎症状態を正確に診査すれば、保存できる可能性は残されています。
• 総合判断が重要。
歯を「残す」「抜く」の判断は、単一の視点ではなく、複合的な診断が求められます。
• 審美性と機能性の両立。
歯肉ラインの再構築により、見た目だけでなく清掃性・長期安定性を確保しました。
リスク・注意点
• 矯正的挺出には治療期間(数ヶ月)を要します。
• 破折の位置や歯根の長さによっては保存が困難な場合もあります。
• 歯周外科後は、一時的に歯肉の腫れや知覚過敏が起こることがあります。
• 歯の保存を試みても、将来的に再破折や感染が生じる可能性があります。
治療費用(税抜)
合計230,000円
• 前歯セラミッククラウン1本:150,000円
• エクストルージョン(矯正的挺出):50,000円
• 歯肉弁移動術(歯冠長延長術):30,000円
まとめ
今回のように、“インプラントしかない”と思われるケースでも、
条件が整えば歯を残す選択が可能です。
ジョージ歯科口腔外科では、
「合理的で長期的な目線を考えた治療」を提案しています。
監修者情報
玉岡丈二 ジョージ歯科口腔外科 院長
歯科医師。医学博士。日本口腔インプラント学会専門医。日本口腔外科学会認定医。
「医学と歯学を繋ぐ」と「インプラント」を専門とし、兵庫医科大学にて医学博士号を取得。兵庫医科大学歯科口腔外科学講座助教を経て、専門医として口腔領域の多岐にわたる手術を担当。2023年ジョージ歯科口腔外科を開院し、「まっすぐに」向き合う医療を志す。
著書・論文に『「人生100年時代」 のインプラント治療の考えかた』『口腔インプラント医が知っておくべき骨吸収抑制薬の知識(日口腔インプラント誌2019)』等。

