症例紹介
Blog 歯ぐきのボリュームを回復して、自然な前歯へ

50代女性の症例です。
数年前、他院で前歯を抜歯し、セラミックブリッジを装着されました。
しかし「前歯の1本だけが極端に長く、見た目が不自然」とお悩みで、当院を受診されました。
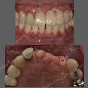
初診時の状況

ブリッジを除去すると、欠損部(抜歯した部分)の歯ぐき=歯槽堤が大きく萎縮していることが判明。
歯ぐきの高さが不足していたため、ポンティック(ブリッジのダミーの歯)が長く作られており、笑った時の見た目に違和感が出ていました。
治療方針

歯ぐきの高さを取り戻すため、結合組織移植(歯ぐきのボリュームを増やす処置)を行い、歯槽堤を回復。
その後、セラミックブリッジを用いて、歯の長さを揃え、自然な前歯のラインを再現する方針としました。
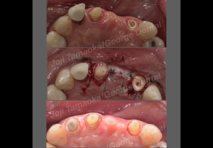
治療ステップ
1. 既存ブリッジを除去し、欠損部の歯ぐきの状態を確認
2. 結合組織移植で歯槽堤を増大(歯ぐきの高さと厚みを回復)
3. 治癒を待ち、歯ぐきの形態が整ってから最終的なセラミックブリッジを装着
治療後の変化


歯の長さと歯ぐきのラインが揃い、笑顔の印象が大きく改善。
患者さまからは「前歯の見た目が自然になって、自信を持って笑えるようになった」と喜びの声をいただきました。
リスク・注意点
• 手術後、一時的な痛み・腫れ・出血を伴う可能性があります
• 歯ぐきのボリュームが個人差により、理想通りに完全再現できないことがあります
• セラミックブリッジが欠けたり壊れる可能性があります
ポイント
✅ 結合組織移植で歯ぐきの高さ・厚みを自然に回復
✅ セラミックブリッジで歯の長さを揃え、審美性を改善
✅ 長年のコンプレックスを解消し、患者さまの笑顔を取り戻した治療例
治療費用
合計:約610,000円
• 結合組織移植術:80,000円
• 前歯セラミッククラウン:150,000円 × 3本(右上1、右上2、左上2)=450,000円
• セラミックポンティック(ダミーの歯):80,000円
※症例の状態により、費用や治療回数は変動する場合があります。
監修者情報
玉岡丈二 ジョージ歯科口腔外科 院長
歯科医師。医学博士。日本口腔インプラント学会専門医。日本口腔外科学会認定医。
「医学と歯学を繋ぐ」と「インプラント」を専門とし、兵庫医科大学にて医学博士号を取得。兵庫医科大学歯科口腔外科学講座助教を経て、専門医として口腔領域の多岐にわたる手術を担当。2023年ジョージ歯科口腔外科を開院し、「まっすぐに」向き合う医療を志す。
著書・論文に『「人生100年時代」 のインプラント治療の考えかた』『口腔インプラント医が知っておくべき骨吸収抑制薬の知識(日口腔インプラント誌2019)』等。

