Instagram

Instagram

TEL 079-283-8880

  • TOP  >  
  • ブログ・症例紹介  >  
  • 症例紹介  >  
  • 歯を残すために、歯ぐきを整えて行う前歯セラミック治療 〜抜かずに治せるケース、意外にあります〜

Blog

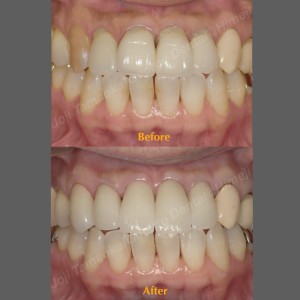
歯を残すために、歯ぐきを整えて行う前歯セラミック治療〜抜かずに治せるケース、意外にあります〜

主訴(患者さんの言葉)

「前歯の差し歯の周りが黒くなってきていて、見た目も気になるし、できれば抜かずに治したい」

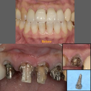
来院時の状態

前歯の被せ物の下で、歯ぐきの中まで虫歯が進んでいる状態でした。

また、歯の根の先には炎症(根の先の病変)も認められ、そのまま被せ物を作り直すだけでは、将来的に再発や腫れの原因になる可能性がありました。

治療を始める前にお伝えしたこと

この症例では、今入っている被せ物(クラウン)を外してみないと、歯が残せるかどうかは分からないという状態でした。

そのため治療開始前に、

• 被せ物を外した結果、保存が難しい可能性があること

• 状態によっては、治療方針が変わる可能性があること

を、あらかじめご説明し、ご了承いただいた上で治療をスタートしています。

実際に確認できた状態と判断

クラウンを外してみると、歯ぐきの中まで虫歯が進んでいる状態でした。

一方で、

• 外科的に歯ぐきを整えることで、清掃しやすい環境を作れそう

• 歯の根の状態も、同時に処置することで安定が期待できる

• 歯は少し長くなりますが、ロースマイル(歯ぐきがあまり見えない笑い方)**のため、見た目への影響は最小限

と判断できました。

そこで、歯を抜かずに残す方向で、外科的な治療を行う方針としました。

行った治療内容

歯ぐきの位置を整える処置

歯ぐきを外科的に移動させ、歯の根元にある虫歯を確実に除去しました。

同時に、歯ぐきが安定しやすい形に整えることで、将来的に腫れや再発が起こりにくい環境を作っています。

根の先の炎症への処置

歯の根の先に炎症があったため、その原因部分を同時に処置しました。

前歯セラミッククラウンによる最終修復

歯ぐきが落ち着いたのを確認したうえで、前歯のセラミッククラウンを作製・装着しました。

歯ぐきとの境目が自然に見えること、清掃しやすいことを重視しています。

治療後の状態

• 歯ぐきは安定し、炎症は認められません

• 前歯の見た目も自然で、違和感の少ない仕上がり

• 噛む・話すといった日常動作も問題ありません

この症例のポイント

✔ 最初から「残せない」とは決めつけず、状態を見て判断

✔ 抜歯以外の選択肢を、現実的に検討

✔ 見た目・機能・将来性のバランスを重視

当院では「長く使えるかどうか」を基準に治療方針を検討しています。

リスク・注意点

• 外科処置を伴うため、治癒には一定の期間が必要です

• 歯の状態によっては、将来的に再治療が必要になる可能性があります

• 治療後の定期的なメンテナンスが重要です

費用(税抜)

• 歯ぐきの外科処置:30,000円/ブロック

• 前歯セラミッククラウン:150,000円/1本

※治療内容・範囲により変動する場合があります。

※詳細は事前にご説明しています。

当院の考え

前歯は、見た目だけでなく、歯ぐきとの関係がとても重要です。

「もう抜くしかないと言われた」

「被せ物を繰り返している」

そんな方でも、状態によっては選択肢が残っていることがあります。

気になる方は、まずはご相談ください。

玉岡丈二 ジョージ歯科口腔外科 院長

歯科医師。医学博士。日本口腔インプラント学会専門医。日本口腔外科学会認定医。

「医学と歯学を繋ぐ」と「インプラント」を専門とし、兵庫医科大学にて医学博士号を取得。兵庫医科大学歯科口腔外科学講座助教を経て、専門医として口腔領域の多岐にわたる手術を担当。2023年ジョージ歯科口腔外科を開院し、「まっすぐに」向き合う医療を志す。

著書・論文に『「人生100年時代」 のインプラント治療の考えかた』『口腔インプラント医が知っておくべき骨吸収抑制薬の知識(日口腔インプラント誌2019)』等。